-
PDF
- Split View
-
Views
-
Cite
Cite
Zara Sheikh, Sadasivam Selvakumar, Patrick Goon, True aneurysm of the digital artery: a case report and systematic literature review, Journal of Surgical Case Reports, Volume 2020, Issue 2, February 2020, rjz400, https://doi.org/10.1093/jscr/rjz400
Close - Share Icon Share
Abstract
Aneurysmal disease can occur in any vessel in the body and occur most commonly the aorta, cerebral and popliteal arteries; however, aneurysms of the digital artery remain a rare presentation. They form an important differential diagnosis in any patient presenting with a mass in the hand. This report presents the case of a 64-year-old man with a true aneurysm of the common palmar digital artery who underwent successful repair, following excision and end to end anastomosis. Only 21 cases of true digital artery aneurysm have been reported; we review the literature pertaining to the diagnosis and management of digital artery aneurysms since they were first described by Baruch et al in 1977.
INTRODUCTION
Aneurysms of the digital artery are exceedingly rare, and few cases have been reported. The majority of cases occur secondary to penetrating or iatrogenic injury causing a false aneurysm of the artery. True aneurysms have been described and can be the result of a congenital anomaly or repetitive blunt micro-trauma due to occupational or recreational predisposition. Patients present with a classic history of an enlarging, tender, pulsating mass. They may also experience cold intolerance, sensory compromise and ischaemic skin changes. A high degree of clinical suspicion is required, and diagnosis is usually confirmed through imaging. Surgical options consist of excision and ligation or restoration of the vasculature, either by primary anastomosis or reconstruction with an interposition graft. We discuss the case of a man presenting with a true digital artery aneurysm and a systematic review of the literature pertaining to the diagnosis and management of digital artery aneurysms.
CASE REPORT
A 64-year-old right-handed, retired man presented to vascular clinic with a 3-month history of an enlarging mass on the ulnar side of his right palm. He had no history of previous trauma but a clear occupational predisposition after spending 20 years working as an electrician.
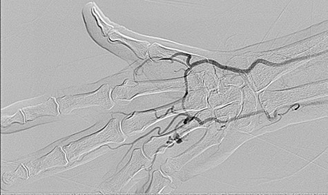
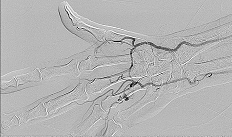
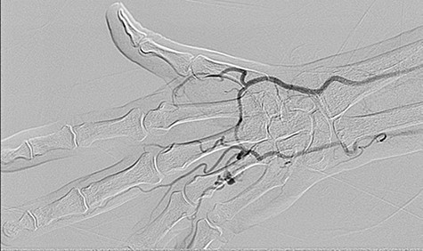
On examination, there was a pulsatile, firm swelling on the ulnar aspect of the right palm with no tissue loss. There was a palpable radial pulse, but no ulnar pulse found on clinical examination. Doppler signals over the digital arteries, ulnar and radial artery were detected. The patient was asymptomatic, and capillary refill time was normal. An initial ultrasound scan demonstrated a 17 × 8 × 13 mm aneurysm of mixed echogenicity in the palmar arch. This was further characterized through angiography (Fig. 1) and was confirmed to be in fact an aneurysm of the common digital artery in the fourth web space.

Angiogram showing aneurysm of the common palmar digital artery in the fourth web space.
Following multidisciplinary team discussion, it was decided that the patient would be a candidate for excision and repair of the aneurysm either with interposition vein graft or primary anastomosis. The case was discussed with the plastic surgery team and undertaken as a joint procedure. After explaining the risks of leaving the aneurysm, specifically, digital ischaemia secondary to thrombosis or rupture, sensory compromise and cold intolerance, balanced against the risks of surgery, the patient decided to proceed with surgical intervention.
A true aneurysm arising from the third common digital artery was confirmed intraoperatively (Fig. 2), supplying the ring and little finger. This was dissected free and the proximal and distal segments clamped. The aneurysmal sac was excised (Fig. 3), and the artery repaired by primary anastomosis (Fig. 4) with good flow immediately after removal of both arterial clamps. The patient was followed up 1-year post surgery, with no evidence of recurrence.



DISCUSSION
Aneurysms of the digital artery are rare but an important differential diagnosis in patients presenting with a mass in the hand. They can be congenital, occur secondary to penetrating injury or recurrent blunt micro-trauma. Furthermore, iatrogenic causes have been described in patients following percutaneous trigger finger release and fasciectomy. The potential for thrombosis or rupture can cause digital ischaemia in cases of compromise to the collateral circulation.
A systematic search of the Medline and Embase databases was performed according to the PRISMA guidelines, using the terms ‘digital artery’ AND ‘aneurysm’ (Fig. 5). All titles and abstracts from the search were evaluated for relevance and full texts of papers meeting eligibility criteria were obtained. References within these articles were reviewed for suitability. This retrieved 42 case reports and 4 case series consisting of 21 true aneurysms, 26 false aneurysms and 2 mycotic aneurysms.
Demographic data, aetiology, imaging modality, surgical procedure and outcomes were recorded for each case (Table 1). Several early publications did not include diagnostic imaging or report the type of aneurysm, and missing data were recorded in these cases. We found that of 26 patients presenting with false aneurysms of the digital artery, 20 had a clear history of penetrating trauma. Of the two mycotic aneurysms identified, one was secondary to infective endocarditis and one was due to an infected collection surrounding the digital artery. The majority of true aneurysms were due to repetitive micro-trauma from occupational injury, for example metal work, radiography and professional golf. The remainder of true aneurysms were either congenital or of unknown cause. No case of Marfan syndrome, Ehlers-Danlos or other collagen disorder was identified.
| Author . | Year . | Age + gender . | Mechanism of injury . | Imaging . | Location . | True/false . | Presentation . | Repair . | Outcome . |
|---|---|---|---|---|---|---|---|---|---|
| Lee | 2006 | 44 F | Poor fitting wedding ring | No imaging | Ring finger | True | Firm, tender, non-pulsatile mass | E + L | No sequelae |
| Baruch | 1977 | 21 M | Glass laceration | X-ray | Thumb | False | Hard, painful mass | E + L | NR |
| Taniguchi | 2002 | 47 M | Radiographer | No imaging | Thumb | True | Tender mass, no sensory compromise | E + L | No sequelae |
| Adant | 1994 | 55 M | Metal worker + Haemophilia | No imaging | Thumb | True | Severe pain and numbness when trying to grasp objects, present for 1.5 years | E + L | No sequelae |
| Ballas | 2006 | 40 M | Textile factory worker—hammer injury + partial factor 8 deficiency | MRA | Index finger | False | Fixed, painless, pulseless lesion | E + L | No sequelae |
| Montoya | 1991 | 23 M | Manual worker—penetrating injury | No imaging | Little finger | False | Painful, pulsatile, cyanotic mass, hypoaesthesia, 18 days post injury | E + L | No sequelae |
| Trabulsy | 1992 | 21 F | Telephone operator | No imaging | Index finger | True | Painful, non-pulsatile mass, loss of sensation, reduced two-point discrimination | E + L | No sequelae + regained two-point discrimination |
| Lucchina | 2011 | 43 M | Scissor injury | CTA | 1st CPDA | False | Throbbing, painful, violaceous mass, 6 weeks post injury | Excision + reconstruction with SBRA | No sequelae |
| Yoshii | 2000 | 29 M | Golfer | MRI | Ring finger | True | Non pulsatile, tenderness mass + numbness on ulnar side of finger | E + L | Complete resolution of symptoms |
| Yasuda | 1996 | NR M | Softball catcher | USS | Thumb | False | NR | NR | NR |
| Dangles | 1984 | 46 M | US navy officer + bowler | No imaging | Thumb | True | Painful mass | E + L | NR |
| Cromheecke | 1997 | 69 M | Screwdriver injury | Angiography | Second CPDA | False | Pulsatile, tender, compressible mass, no sensory compromise | Conservative | No sequelae |
| Tyler | 1988 | 57 F | Opened tins by banging palm of her hand on opener for several years | DSA | first CPDA | False | Median nerve compression, tingling and pain + intermittent cyanosis, pulsatile mass | Excision + vein graft | No sequelae |
| Chaudhry | 2011 | 54 F | Dog bite | USS | Index finger | False | Firm, cystic, pulsatile, tender mass | E + L | No sequelae |
| Turner | 1984 | 52 F | Canteen assistant | No imaging | Ring finger | True | Tender mass, + hypoaesthesia | E + L | Complete pain relief, residual hypoaesthesia |
| Layman | 1982 | 38 M | Crush injury | No imaging | Middle finger | True | Tender mass + hypoaesthesia, 2 years following injury | E + L | NR |
| Hentz | 1978 | 19 M | Digital amputation | No imaging | Middle finger | False | 2 cm pulsatile mass, 11 days postoperatively—following partial amputation of right index finger | E + L + complete amputation of digital stump | No sequelae |
| Suzuki | 1980 | 69 M | Machinist—penetrating injury | Angiography | Thumb | False | Mass, ischaemic skin changes, hypoaesthesia | E + L | |
| Hueston | 1973 | 62 F | Post-fasciectomy for Dupuytren’s contracture | No imaging | Little finger | NR | Enlarging, painful, non-pulsatile mass 10 days post fasciectomy | E + L | NR |
| Sanchez | 1982 | 26 M | Penetrating injury | Angiography | Ring finger | False | Tender pulsatile mass | Excision + PA | No sequelae |
| Simeonov | 1998 | 4 M | Penetrating injury | No imaging | Second CPDA | False | Enlarging, bleeding mass | E + L | NR |
| Hall | 1986 | 24 M | Penetrating injury | Angiography | Little finger | False | Throbbing, painful mass, 5 days post-injury | Repair | No sequelae |
| Abouzahr | 1997 | 6 M | Penetrating injury | MRA | Index finger | False | Violaceous, tender, pulsatile mass 10 days post-injury | E + L | No sequelae |
| Strauch | 2004 | 32 F | No cause identified | Angiography | Little finger | True | Fusiform, pulsatile, blue swelling | Excision + reconstruction with IVG | No sequelae |
| Shidayama | 1992 | 13 F | Penetrating injury | No imaging | Middle finger | False | Tender, pulsatile mass, 1-week post-injury | E + L | No sequelae |
| Lanzetta | 1992 | 28 F | Volleyball player | DSA | Middle finger (x3) + Superficial palmar arch | True | Tender, pulsatile mass + digit 3 degrees cooler than opposite hand | Conservative | No sequelae |
| Khan | 1998 | 70 M | Penetrating injury | No imaging | Middle finger | False | Tender swelling | E + L | No sequelae |
| Sayit | 2017 | 27 M | Penetrating injury | MRI | 1ST CPDA | False | Tender, pulsatile mass, skin atrophy + hypoaesthesia, 1-month post injury | Excision + PA | NR |
| Brunelli | 1988 | 27 M | Crush injury | X-ray | Middle and Ring finger | False | Tender, non-pulsatile mass | Excision + reconstruction with IVG | No sequelae |
| Quintella | 2019 | 60 M | No cause identified | MRA | Middle finger | True | Tender, pulsatile mass | E + L | No sequelae |
| Dean | 2019 | 13 months M | Congenital | Angiography | Second CPDA | True | Enlarging, pulsatile mass | E + L | No sequelae |
| Taylor | 2012 | 60 M | Percutaneous trigger finger release | MRA | Thumb | False | Enlarging mass, pulsating + painful, reduced sensation in radial nerve distribution of thumb | E + L | No sequelae |
| Berrettoni | 1990 | 67 M | Infective endocarditis | USS | Index | Mycotic | 1-week history of painful swelling in the palm | Excision + reconstruction with arterial graft | No sequelae |
| Gracia | 1987 | 70 M | Penetrating injury | NR | Middle | False | Pulsatile mass three weeks following knife injury | E + L | No sequelae |
| Miyamoto | 2009 | 16 M | Baseball player | MRA | Thumb | False | 1-year history of enlarging mass + hypoaesthesia | Excision + PA | No sequelae |
| Bianchi | 1993 | 70 M | Penetrating injury | Angiography | Middle | False | Non-tender, non-pulsatile mass—gradually enlarging for 15 years following penetrating trauma | E + L | NR |
| Tanaka | 2005 | 2 F | Congenital | Angiography | Middle finger | True | Pulsatile swelling | Excision + reconstruction with IVG | No sequelae |
| Bouvet | 2018 | 39 M | Previous penetrating trauma and infected collection | MRI | Thumb | Mycotic | Painful mass | Excision + PA | No sequelae |
| Vinnivombe | 2019 | 44 M | Musician + Golfer | MRA | Second CPDA | True | Swelling | E + L | No sequelae |
| Videodo | 2017 | 71 F | No cause identified | USS | Little finger | NR | Pulsatile mass | E + L | No sequelae |
| Itoh | 1992 | 8 month M | Congenital | USS | Third CPDA | True | 1-month history of enlarging, pulsating mass | E + L | No sequelae |
| Plant | 2011 | 65 F | Penetrating injury | USS + Angiogram | Thumb | False | Tender, pulsating mass, 2 weeks post injury | Excision + PA | No sequelae |
| Case series | |||||||||
| Ho | 1987 | NR | Unknown | NR | Index finger | True | NR | E + L | No sequelae |
| NR | Puncture wound | NR | Thumb | False | NR | E + L | No sequelae | ||
| NR | Unknown | NR | Little finger | True | NR | E + L | No sequelae | ||
| NR | Unknown | NR | Index finger | True | NR | E + L | No sequelae | ||
| NR | Penetrating injury | NR | Little finger | False | NR | E + L | No sequelae | ||
| NR | Volleyball player | NR | Ring finger | True | NR | Excision + PA | No sequelae | ||
| Adham | 1997 | 48 M | Baseball bat injury | Angiography | Thumb | NR | Ulceration, pain and cold intolerance 1 week post injury | Excision + reconstruction with IVG | Ulceration healed, cold intolerance improved, asymptomatic at 2.5 years of follow-up |
| 49 M | Computer repair technician | X-ray | Thumb | NR | Mobile mass | Excision + reconstruction with IVG | Patent graft, slightly reduced flow compared to index finger | ||
| 32 M | Police academy firearms instructor | NR | Thumb | NR | Bruising and localized swelling, pain and cold intolerance 2 weeks following a long session of shooting practice | Excision + reconstruction with IVG | Patent graft, asymptomatic 5 years post procedure | ||
| 43 M | Bowler | NR | Thumb | NR | Painful mass for 2 weeks | Excision + reconstruction with IVG | Diminished flow 2 years post procedure but patent graft | ||
| Yajima | 1995 | 58 F | Cut | No imaging | CPDA | False | `Mass | Excision + PA | No sequelae |
| 69 F | Farming | No imaging | CPDA | True | Mass + sensory disturbance | E + L | No sequelae | ||
| 16 M | Baseball | No imaging | Thumb | True | Mass + sensory disturbance | E + L | No sequelae | ||
| Gray | 1998 | NR | NR | NR | NR | NR | NR | E + L | No sequelae |
| NR | NR | NR | NR | NR | NR | No intervention | No sequelae | ||
| NR | NR | NR | NR | NR | NR | E + L | No sequelae | ||
| Author . | Year . | Age + gender . | Mechanism of injury . | Imaging . | Location . | True/false . | Presentation . | Repair . | Outcome . |
|---|---|---|---|---|---|---|---|---|---|
| Lee | 2006 | 44 F | Poor fitting wedding ring | No imaging | Ring finger | True | Firm, tender, non-pulsatile mass | E + L | No sequelae |
| Baruch | 1977 | 21 M | Glass laceration | X-ray | Thumb | False | Hard, painful mass | E + L | NR |
| Taniguchi | 2002 | 47 M | Radiographer | No imaging | Thumb | True | Tender mass, no sensory compromise | E + L | No sequelae |
| Adant | 1994 | 55 M | Metal worker + Haemophilia | No imaging | Thumb | True | Severe pain and numbness when trying to grasp objects, present for 1.5 years | E + L | No sequelae |
| Ballas | 2006 | 40 M | Textile factory worker—hammer injury + partial factor 8 deficiency | MRA | Index finger | False | Fixed, painless, pulseless lesion | E + L | No sequelae |
| Montoya | 1991 | 23 M | Manual worker—penetrating injury | No imaging | Little finger | False | Painful, pulsatile, cyanotic mass, hypoaesthesia, 18 days post injury | E + L | No sequelae |
| Trabulsy | 1992 | 21 F | Telephone operator | No imaging | Index finger | True | Painful, non-pulsatile mass, loss of sensation, reduced two-point discrimination | E + L | No sequelae + regained two-point discrimination |
| Lucchina | 2011 | 43 M | Scissor injury | CTA | 1st CPDA | False | Throbbing, painful, violaceous mass, 6 weeks post injury | Excision + reconstruction with SBRA | No sequelae |
| Yoshii | 2000 | 29 M | Golfer | MRI | Ring finger | True | Non pulsatile, tenderness mass + numbness on ulnar side of finger | E + L | Complete resolution of symptoms |
| Yasuda | 1996 | NR M | Softball catcher | USS | Thumb | False | NR | NR | NR |
| Dangles | 1984 | 46 M | US navy officer + bowler | No imaging | Thumb | True | Painful mass | E + L | NR |
| Cromheecke | 1997 | 69 M | Screwdriver injury | Angiography | Second CPDA | False | Pulsatile, tender, compressible mass, no sensory compromise | Conservative | No sequelae |
| Tyler | 1988 | 57 F | Opened tins by banging palm of her hand on opener for several years | DSA | first CPDA | False | Median nerve compression, tingling and pain + intermittent cyanosis, pulsatile mass | Excision + vein graft | No sequelae |
| Chaudhry | 2011 | 54 F | Dog bite | USS | Index finger | False | Firm, cystic, pulsatile, tender mass | E + L | No sequelae |
| Turner | 1984 | 52 F | Canteen assistant | No imaging | Ring finger | True | Tender mass, + hypoaesthesia | E + L | Complete pain relief, residual hypoaesthesia |
| Layman | 1982 | 38 M | Crush injury | No imaging | Middle finger | True | Tender mass + hypoaesthesia, 2 years following injury | E + L | NR |
| Hentz | 1978 | 19 M | Digital amputation | No imaging | Middle finger | False | 2 cm pulsatile mass, 11 days postoperatively—following partial amputation of right index finger | E + L + complete amputation of digital stump | No sequelae |
| Suzuki | 1980 | 69 M | Machinist—penetrating injury | Angiography | Thumb | False | Mass, ischaemic skin changes, hypoaesthesia | E + L | |
| Hueston | 1973 | 62 F | Post-fasciectomy for Dupuytren’s contracture | No imaging | Little finger | NR | Enlarging, painful, non-pulsatile mass 10 days post fasciectomy | E + L | NR |
| Sanchez | 1982 | 26 M | Penetrating injury | Angiography | Ring finger | False | Tender pulsatile mass | Excision + PA | No sequelae |
| Simeonov | 1998 | 4 M | Penetrating injury | No imaging | Second CPDA | False | Enlarging, bleeding mass | E + L | NR |
| Hall | 1986 | 24 M | Penetrating injury | Angiography | Little finger | False | Throbbing, painful mass, 5 days post-injury | Repair | No sequelae |
| Abouzahr | 1997 | 6 M | Penetrating injury | MRA | Index finger | False | Violaceous, tender, pulsatile mass 10 days post-injury | E + L | No sequelae |
| Strauch | 2004 | 32 F | No cause identified | Angiography | Little finger | True | Fusiform, pulsatile, blue swelling | Excision + reconstruction with IVG | No sequelae |
| Shidayama | 1992 | 13 F | Penetrating injury | No imaging | Middle finger | False | Tender, pulsatile mass, 1-week post-injury | E + L | No sequelae |
| Lanzetta | 1992 | 28 F | Volleyball player | DSA | Middle finger (x3) + Superficial palmar arch | True | Tender, pulsatile mass + digit 3 degrees cooler than opposite hand | Conservative | No sequelae |
| Khan | 1998 | 70 M | Penetrating injury | No imaging | Middle finger | False | Tender swelling | E + L | No sequelae |
| Sayit | 2017 | 27 M | Penetrating injury | MRI | 1ST CPDA | False | Tender, pulsatile mass, skin atrophy + hypoaesthesia, 1-month post injury | Excision + PA | NR |
| Brunelli | 1988 | 27 M | Crush injury | X-ray | Middle and Ring finger | False | Tender, non-pulsatile mass | Excision + reconstruction with IVG | No sequelae |
| Quintella | 2019 | 60 M | No cause identified | MRA | Middle finger | True | Tender, pulsatile mass | E + L | No sequelae |
| Dean | 2019 | 13 months M | Congenital | Angiography | Second CPDA | True | Enlarging, pulsatile mass | E + L | No sequelae |
| Taylor | 2012 | 60 M | Percutaneous trigger finger release | MRA | Thumb | False | Enlarging mass, pulsating + painful, reduced sensation in radial nerve distribution of thumb | E + L | No sequelae |
| Berrettoni | 1990 | 67 M | Infective endocarditis | USS | Index | Mycotic | 1-week history of painful swelling in the palm | Excision + reconstruction with arterial graft | No sequelae |
| Gracia | 1987 | 70 M | Penetrating injury | NR | Middle | False | Pulsatile mass three weeks following knife injury | E + L | No sequelae |
| Miyamoto | 2009 | 16 M | Baseball player | MRA | Thumb | False | 1-year history of enlarging mass + hypoaesthesia | Excision + PA | No sequelae |
| Bianchi | 1993 | 70 M | Penetrating injury | Angiography | Middle | False | Non-tender, non-pulsatile mass—gradually enlarging for 15 years following penetrating trauma | E + L | NR |
| Tanaka | 2005 | 2 F | Congenital | Angiography | Middle finger | True | Pulsatile swelling | Excision + reconstruction with IVG | No sequelae |
| Bouvet | 2018 | 39 M | Previous penetrating trauma and infected collection | MRI | Thumb | Mycotic | Painful mass | Excision + PA | No sequelae |
| Vinnivombe | 2019 | 44 M | Musician + Golfer | MRA | Second CPDA | True | Swelling | E + L | No sequelae |
| Videodo | 2017 | 71 F | No cause identified | USS | Little finger | NR | Pulsatile mass | E + L | No sequelae |
| Itoh | 1992 | 8 month M | Congenital | USS | Third CPDA | True | 1-month history of enlarging, pulsating mass | E + L | No sequelae |
| Plant | 2011 | 65 F | Penetrating injury | USS + Angiogram | Thumb | False | Tender, pulsating mass, 2 weeks post injury | Excision + PA | No sequelae |
| Case series | |||||||||
| Ho | 1987 | NR | Unknown | NR | Index finger | True | NR | E + L | No sequelae |
| NR | Puncture wound | NR | Thumb | False | NR | E + L | No sequelae | ||
| NR | Unknown | NR | Little finger | True | NR | E + L | No sequelae | ||
| NR | Unknown | NR | Index finger | True | NR | E + L | No sequelae | ||
| NR | Penetrating injury | NR | Little finger | False | NR | E + L | No sequelae | ||
| NR | Volleyball player | NR | Ring finger | True | NR | Excision + PA | No sequelae | ||
| Adham | 1997 | 48 M | Baseball bat injury | Angiography | Thumb | NR | Ulceration, pain and cold intolerance 1 week post injury | Excision + reconstruction with IVG | Ulceration healed, cold intolerance improved, asymptomatic at 2.5 years of follow-up |
| 49 M | Computer repair technician | X-ray | Thumb | NR | Mobile mass | Excision + reconstruction with IVG | Patent graft, slightly reduced flow compared to index finger | ||
| 32 M | Police academy firearms instructor | NR | Thumb | NR | Bruising and localized swelling, pain and cold intolerance 2 weeks following a long session of shooting practice | Excision + reconstruction with IVG | Patent graft, asymptomatic 5 years post procedure | ||
| 43 M | Bowler | NR | Thumb | NR | Painful mass for 2 weeks | Excision + reconstruction with IVG | Diminished flow 2 years post procedure but patent graft | ||
| Yajima | 1995 | 58 F | Cut | No imaging | CPDA | False | `Mass | Excision + PA | No sequelae |
| 69 F | Farming | No imaging | CPDA | True | Mass + sensory disturbance | E + L | No sequelae | ||
| 16 M | Baseball | No imaging | Thumb | True | Mass + sensory disturbance | E + L | No sequelae | ||
| Gray | 1998 | NR | NR | NR | NR | NR | NR | E + L | No sequelae |
| NR | NR | NR | NR | NR | NR | No intervention | No sequelae | ||
| NR | NR | NR | NR | NR | NR | E + L | No sequelae | ||
MRA, magnetic resonance angiography; CTA, CT angiography; MRI, magnetic resonance imaging; USS, Ultrasound scan; DSA, digital subtraction angiography; NR, not recorded; CPDA, common palmar digital artery; SPBRA, superficial palmar branch of the radial artery; E + L, excision + ligation; E + L + PA, excision + ligation + primary anastomosis; IVG, interposition vein graft.
| Author . | Year . | Age + gender . | Mechanism of injury . | Imaging . | Location . | True/false . | Presentation . | Repair . | Outcome . |
|---|---|---|---|---|---|---|---|---|---|
| Lee | 2006 | 44 F | Poor fitting wedding ring | No imaging | Ring finger | True | Firm, tender, non-pulsatile mass | E + L | No sequelae |
| Baruch | 1977 | 21 M | Glass laceration | X-ray | Thumb | False | Hard, painful mass | E + L | NR |
| Taniguchi | 2002 | 47 M | Radiographer | No imaging | Thumb | True | Tender mass, no sensory compromise | E + L | No sequelae |
| Adant | 1994 | 55 M | Metal worker + Haemophilia | No imaging | Thumb | True | Severe pain and numbness when trying to grasp objects, present for 1.5 years | E + L | No sequelae |
| Ballas | 2006 | 40 M | Textile factory worker—hammer injury + partial factor 8 deficiency | MRA | Index finger | False | Fixed, painless, pulseless lesion | E + L | No sequelae |
| Montoya | 1991 | 23 M | Manual worker—penetrating injury | No imaging | Little finger | False | Painful, pulsatile, cyanotic mass, hypoaesthesia, 18 days post injury | E + L | No sequelae |
| Trabulsy | 1992 | 21 F | Telephone operator | No imaging | Index finger | True | Painful, non-pulsatile mass, loss of sensation, reduced two-point discrimination | E + L | No sequelae + regained two-point discrimination |
| Lucchina | 2011 | 43 M | Scissor injury | CTA | 1st CPDA | False | Throbbing, painful, violaceous mass, 6 weeks post injury | Excision + reconstruction with SBRA | No sequelae |
| Yoshii | 2000 | 29 M | Golfer | MRI | Ring finger | True | Non pulsatile, tenderness mass + numbness on ulnar side of finger | E + L | Complete resolution of symptoms |
| Yasuda | 1996 | NR M | Softball catcher | USS | Thumb | False | NR | NR | NR |
| Dangles | 1984 | 46 M | US navy officer + bowler | No imaging | Thumb | True | Painful mass | E + L | NR |
| Cromheecke | 1997 | 69 M | Screwdriver injury | Angiography | Second CPDA | False | Pulsatile, tender, compressible mass, no sensory compromise | Conservative | No sequelae |
| Tyler | 1988 | 57 F | Opened tins by banging palm of her hand on opener for several years | DSA | first CPDA | False | Median nerve compression, tingling and pain + intermittent cyanosis, pulsatile mass | Excision + vein graft | No sequelae |
| Chaudhry | 2011 | 54 F | Dog bite | USS | Index finger | False | Firm, cystic, pulsatile, tender mass | E + L | No sequelae |
| Turner | 1984 | 52 F | Canteen assistant | No imaging | Ring finger | True | Tender mass, + hypoaesthesia | E + L | Complete pain relief, residual hypoaesthesia |
| Layman | 1982 | 38 M | Crush injury | No imaging | Middle finger | True | Tender mass + hypoaesthesia, 2 years following injury | E + L | NR |
| Hentz | 1978 | 19 M | Digital amputation | No imaging | Middle finger | False | 2 cm pulsatile mass, 11 days postoperatively—following partial amputation of right index finger | E + L + complete amputation of digital stump | No sequelae |
| Suzuki | 1980 | 69 M | Machinist—penetrating injury | Angiography | Thumb | False | Mass, ischaemic skin changes, hypoaesthesia | E + L | |
| Hueston | 1973 | 62 F | Post-fasciectomy for Dupuytren’s contracture | No imaging | Little finger | NR | Enlarging, painful, non-pulsatile mass 10 days post fasciectomy | E + L | NR |
| Sanchez | 1982 | 26 M | Penetrating injury | Angiography | Ring finger | False | Tender pulsatile mass | Excision + PA | No sequelae |
| Simeonov | 1998 | 4 M | Penetrating injury | No imaging | Second CPDA | False | Enlarging, bleeding mass | E + L | NR |
| Hall | 1986 | 24 M | Penetrating injury | Angiography | Little finger | False | Throbbing, painful mass, 5 days post-injury | Repair | No sequelae |
| Abouzahr | 1997 | 6 M | Penetrating injury | MRA | Index finger | False | Violaceous, tender, pulsatile mass 10 days post-injury | E + L | No sequelae |
| Strauch | 2004 | 32 F | No cause identified | Angiography | Little finger | True | Fusiform, pulsatile, blue swelling | Excision + reconstruction with IVG | No sequelae |
| Shidayama | 1992 | 13 F | Penetrating injury | No imaging | Middle finger | False | Tender, pulsatile mass, 1-week post-injury | E + L | No sequelae |
| Lanzetta | 1992 | 28 F | Volleyball player | DSA | Middle finger (x3) + Superficial palmar arch | True | Tender, pulsatile mass + digit 3 degrees cooler than opposite hand | Conservative | No sequelae |
| Khan | 1998 | 70 M | Penetrating injury | No imaging | Middle finger | False | Tender swelling | E + L | No sequelae |
| Sayit | 2017 | 27 M | Penetrating injury | MRI | 1ST CPDA | False | Tender, pulsatile mass, skin atrophy + hypoaesthesia, 1-month post injury | Excision + PA | NR |
| Brunelli | 1988 | 27 M | Crush injury | X-ray | Middle and Ring finger | False | Tender, non-pulsatile mass | Excision + reconstruction with IVG | No sequelae |
| Quintella | 2019 | 60 M | No cause identified | MRA | Middle finger | True | Tender, pulsatile mass | E + L | No sequelae |
| Dean | 2019 | 13 months M | Congenital | Angiography | Second CPDA | True | Enlarging, pulsatile mass | E + L | No sequelae |
| Taylor | 2012 | 60 M | Percutaneous trigger finger release | MRA | Thumb | False | Enlarging mass, pulsating + painful, reduced sensation in radial nerve distribution of thumb | E + L | No sequelae |
| Berrettoni | 1990 | 67 M | Infective endocarditis | USS | Index | Mycotic | 1-week history of painful swelling in the palm | Excision + reconstruction with arterial graft | No sequelae |
| Gracia | 1987 | 70 M | Penetrating injury | NR | Middle | False | Pulsatile mass three weeks following knife injury | E + L | No sequelae |
| Miyamoto | 2009 | 16 M | Baseball player | MRA | Thumb | False | 1-year history of enlarging mass + hypoaesthesia | Excision + PA | No sequelae |
| Bianchi | 1993 | 70 M | Penetrating injury | Angiography | Middle | False | Non-tender, non-pulsatile mass—gradually enlarging for 15 years following penetrating trauma | E + L | NR |
| Tanaka | 2005 | 2 F | Congenital | Angiography | Middle finger | True | Pulsatile swelling | Excision + reconstruction with IVG | No sequelae |
| Bouvet | 2018 | 39 M | Previous penetrating trauma and infected collection | MRI | Thumb | Mycotic | Painful mass | Excision + PA | No sequelae |
| Vinnivombe | 2019 | 44 M | Musician + Golfer | MRA | Second CPDA | True | Swelling | E + L | No sequelae |
| Videodo | 2017 | 71 F | No cause identified | USS | Little finger | NR | Pulsatile mass | E + L | No sequelae |
| Itoh | 1992 | 8 month M | Congenital | USS | Third CPDA | True | 1-month history of enlarging, pulsating mass | E + L | No sequelae |
| Plant | 2011 | 65 F | Penetrating injury | USS + Angiogram | Thumb | False | Tender, pulsating mass, 2 weeks post injury | Excision + PA | No sequelae |
| Case series | |||||||||
| Ho | 1987 | NR | Unknown | NR | Index finger | True | NR | E + L | No sequelae |
| NR | Puncture wound | NR | Thumb | False | NR | E + L | No sequelae | ||
| NR | Unknown | NR | Little finger | True | NR | E + L | No sequelae | ||
| NR | Unknown | NR | Index finger | True | NR | E + L | No sequelae | ||
| NR | Penetrating injury | NR | Little finger | False | NR | E + L | No sequelae | ||
| NR | Volleyball player | NR | Ring finger | True | NR | Excision + PA | No sequelae | ||
| Adham | 1997 | 48 M | Baseball bat injury | Angiography | Thumb | NR | Ulceration, pain and cold intolerance 1 week post injury | Excision + reconstruction with IVG | Ulceration healed, cold intolerance improved, asymptomatic at 2.5 years of follow-up |
| 49 M | Computer repair technician | X-ray | Thumb | NR | Mobile mass | Excision + reconstruction with IVG | Patent graft, slightly reduced flow compared to index finger | ||
| 32 M | Police academy firearms instructor | NR | Thumb | NR | Bruising and localized swelling, pain and cold intolerance 2 weeks following a long session of shooting practice | Excision + reconstruction with IVG | Patent graft, asymptomatic 5 years post procedure | ||
| 43 M | Bowler | NR | Thumb | NR | Painful mass for 2 weeks | Excision + reconstruction with IVG | Diminished flow 2 years post procedure but patent graft | ||
| Yajima | 1995 | 58 F | Cut | No imaging | CPDA | False | `Mass | Excision + PA | No sequelae |
| 69 F | Farming | No imaging | CPDA | True | Mass + sensory disturbance | E + L | No sequelae | ||
| 16 M | Baseball | No imaging | Thumb | True | Mass + sensory disturbance | E + L | No sequelae | ||
| Gray | 1998 | NR | NR | NR | NR | NR | NR | E + L | No sequelae |
| NR | NR | NR | NR | NR | NR | No intervention | No sequelae | ||
| NR | NR | NR | NR | NR | NR | E + L | No sequelae | ||
| Author . | Year . | Age + gender . | Mechanism of injury . | Imaging . | Location . | True/false . | Presentation . | Repair . | Outcome . |
|---|---|---|---|---|---|---|---|---|---|
| Lee | 2006 | 44 F | Poor fitting wedding ring | No imaging | Ring finger | True | Firm, tender, non-pulsatile mass | E + L | No sequelae |
| Baruch | 1977 | 21 M | Glass laceration | X-ray | Thumb | False | Hard, painful mass | E + L | NR |
| Taniguchi | 2002 | 47 M | Radiographer | No imaging | Thumb | True | Tender mass, no sensory compromise | E + L | No sequelae |
| Adant | 1994 | 55 M | Metal worker + Haemophilia | No imaging | Thumb | True | Severe pain and numbness when trying to grasp objects, present for 1.5 years | E + L | No sequelae |
| Ballas | 2006 | 40 M | Textile factory worker—hammer injury + partial factor 8 deficiency | MRA | Index finger | False | Fixed, painless, pulseless lesion | E + L | No sequelae |
| Montoya | 1991 | 23 M | Manual worker—penetrating injury | No imaging | Little finger | False | Painful, pulsatile, cyanotic mass, hypoaesthesia, 18 days post injury | E + L | No sequelae |
| Trabulsy | 1992 | 21 F | Telephone operator | No imaging | Index finger | True | Painful, non-pulsatile mass, loss of sensation, reduced two-point discrimination | E + L | No sequelae + regained two-point discrimination |
| Lucchina | 2011 | 43 M | Scissor injury | CTA | 1st CPDA | False | Throbbing, painful, violaceous mass, 6 weeks post injury | Excision + reconstruction with SBRA | No sequelae |
| Yoshii | 2000 | 29 M | Golfer | MRI | Ring finger | True | Non pulsatile, tenderness mass + numbness on ulnar side of finger | E + L | Complete resolution of symptoms |
| Yasuda | 1996 | NR M | Softball catcher | USS | Thumb | False | NR | NR | NR |
| Dangles | 1984 | 46 M | US navy officer + bowler | No imaging | Thumb | True | Painful mass | E + L | NR |
| Cromheecke | 1997 | 69 M | Screwdriver injury | Angiography | Second CPDA | False | Pulsatile, tender, compressible mass, no sensory compromise | Conservative | No sequelae |
| Tyler | 1988 | 57 F | Opened tins by banging palm of her hand on opener for several years | DSA | first CPDA | False | Median nerve compression, tingling and pain + intermittent cyanosis, pulsatile mass | Excision + vein graft | No sequelae |
| Chaudhry | 2011 | 54 F | Dog bite | USS | Index finger | False | Firm, cystic, pulsatile, tender mass | E + L | No sequelae |
| Turner | 1984 | 52 F | Canteen assistant | No imaging | Ring finger | True | Tender mass, + hypoaesthesia | E + L | Complete pain relief, residual hypoaesthesia |
| Layman | 1982 | 38 M | Crush injury | No imaging | Middle finger | True | Tender mass + hypoaesthesia, 2 years following injury | E + L | NR |
| Hentz | 1978 | 19 M | Digital amputation | No imaging | Middle finger | False | 2 cm pulsatile mass, 11 days postoperatively—following partial amputation of right index finger | E + L + complete amputation of digital stump | No sequelae |
| Suzuki | 1980 | 69 M | Machinist—penetrating injury | Angiography | Thumb | False | Mass, ischaemic skin changes, hypoaesthesia | E + L | |
| Hueston | 1973 | 62 F | Post-fasciectomy for Dupuytren’s contracture | No imaging | Little finger | NR | Enlarging, painful, non-pulsatile mass 10 days post fasciectomy | E + L | NR |
| Sanchez | 1982 | 26 M | Penetrating injury | Angiography | Ring finger | False | Tender pulsatile mass | Excision + PA | No sequelae |
| Simeonov | 1998 | 4 M | Penetrating injury | No imaging | Second CPDA | False | Enlarging, bleeding mass | E + L | NR |
| Hall | 1986 | 24 M | Penetrating injury | Angiography | Little finger | False | Throbbing, painful mass, 5 days post-injury | Repair | No sequelae |
| Abouzahr | 1997 | 6 M | Penetrating injury | MRA | Index finger | False | Violaceous, tender, pulsatile mass 10 days post-injury | E + L | No sequelae |
| Strauch | 2004 | 32 F | No cause identified | Angiography | Little finger | True | Fusiform, pulsatile, blue swelling | Excision + reconstruction with IVG | No sequelae |
| Shidayama | 1992 | 13 F | Penetrating injury | No imaging | Middle finger | False | Tender, pulsatile mass, 1-week post-injury | E + L | No sequelae |
| Lanzetta | 1992 | 28 F | Volleyball player | DSA | Middle finger (x3) + Superficial palmar arch | True | Tender, pulsatile mass + digit 3 degrees cooler than opposite hand | Conservative | No sequelae |
| Khan | 1998 | 70 M | Penetrating injury | No imaging | Middle finger | False | Tender swelling | E + L | No sequelae |
| Sayit | 2017 | 27 M | Penetrating injury | MRI | 1ST CPDA | False | Tender, pulsatile mass, skin atrophy + hypoaesthesia, 1-month post injury | Excision + PA | NR |
| Brunelli | 1988 | 27 M | Crush injury | X-ray | Middle and Ring finger | False | Tender, non-pulsatile mass | Excision + reconstruction with IVG | No sequelae |
| Quintella | 2019 | 60 M | No cause identified | MRA | Middle finger | True | Tender, pulsatile mass | E + L | No sequelae |
| Dean | 2019 | 13 months M | Congenital | Angiography | Second CPDA | True | Enlarging, pulsatile mass | E + L | No sequelae |
| Taylor | 2012 | 60 M | Percutaneous trigger finger release | MRA | Thumb | False | Enlarging mass, pulsating + painful, reduced sensation in radial nerve distribution of thumb | E + L | No sequelae |
| Berrettoni | 1990 | 67 M | Infective endocarditis | USS | Index | Mycotic | 1-week history of painful swelling in the palm | Excision + reconstruction with arterial graft | No sequelae |
| Gracia | 1987 | 70 M | Penetrating injury | NR | Middle | False | Pulsatile mass three weeks following knife injury | E + L | No sequelae |
| Miyamoto | 2009 | 16 M | Baseball player | MRA | Thumb | False | 1-year history of enlarging mass + hypoaesthesia | Excision + PA | No sequelae |
| Bianchi | 1993 | 70 M | Penetrating injury | Angiography | Middle | False | Non-tender, non-pulsatile mass—gradually enlarging for 15 years following penetrating trauma | E + L | NR |
| Tanaka | 2005 | 2 F | Congenital | Angiography | Middle finger | True | Pulsatile swelling | Excision + reconstruction with IVG | No sequelae |
| Bouvet | 2018 | 39 M | Previous penetrating trauma and infected collection | MRI | Thumb | Mycotic | Painful mass | Excision + PA | No sequelae |
| Vinnivombe | 2019 | 44 M | Musician + Golfer | MRA | Second CPDA | True | Swelling | E + L | No sequelae |
| Videodo | 2017 | 71 F | No cause identified | USS | Little finger | NR | Pulsatile mass | E + L | No sequelae |
| Itoh | 1992 | 8 month M | Congenital | USS | Third CPDA | True | 1-month history of enlarging, pulsating mass | E + L | No sequelae |
| Plant | 2011 | 65 F | Penetrating injury | USS + Angiogram | Thumb | False | Tender, pulsating mass, 2 weeks post injury | Excision + PA | No sequelae |
| Case series | |||||||||
| Ho | 1987 | NR | Unknown | NR | Index finger | True | NR | E + L | No sequelae |
| NR | Puncture wound | NR | Thumb | False | NR | E + L | No sequelae | ||
| NR | Unknown | NR | Little finger | True | NR | E + L | No sequelae | ||
| NR | Unknown | NR | Index finger | True | NR | E + L | No sequelae | ||
| NR | Penetrating injury | NR | Little finger | False | NR | E + L | No sequelae | ||
| NR | Volleyball player | NR | Ring finger | True | NR | Excision + PA | No sequelae | ||
| Adham | 1997 | 48 M | Baseball bat injury | Angiography | Thumb | NR | Ulceration, pain and cold intolerance 1 week post injury | Excision + reconstruction with IVG | Ulceration healed, cold intolerance improved, asymptomatic at 2.5 years of follow-up |
| 49 M | Computer repair technician | X-ray | Thumb | NR | Mobile mass | Excision + reconstruction with IVG | Patent graft, slightly reduced flow compared to index finger | ||
| 32 M | Police academy firearms instructor | NR | Thumb | NR | Bruising and localized swelling, pain and cold intolerance 2 weeks following a long session of shooting practice | Excision + reconstruction with IVG | Patent graft, asymptomatic 5 years post procedure | ||
| 43 M | Bowler | NR | Thumb | NR | Painful mass for 2 weeks | Excision + reconstruction with IVG | Diminished flow 2 years post procedure but patent graft | ||
| Yajima | 1995 | 58 F | Cut | No imaging | CPDA | False | `Mass | Excision + PA | No sequelae |
| 69 F | Farming | No imaging | CPDA | True | Mass + sensory disturbance | E + L | No sequelae | ||
| 16 M | Baseball | No imaging | Thumb | True | Mass + sensory disturbance | E + L | No sequelae | ||
| Gray | 1998 | NR | NR | NR | NR | NR | NR | E + L | No sequelae |
| NR | NR | NR | NR | NR | NR | No intervention | No sequelae | ||
| NR | NR | NR | NR | NR | NR | E + L | No sequelae | ||
MRA, magnetic resonance angiography; CTA, CT angiography; MRI, magnetic resonance imaging; USS, Ultrasound scan; DSA, digital subtraction angiography; NR, not recorded; CPDA, common palmar digital artery; SPBRA, superficial palmar branch of the radial artery; E + L, excision + ligation; E + L + PA, excision + ligation + primary anastomosis; IVG, interposition vein graft.

Excision of the aneurysmal sac and ligation of the proximal and distal segment of the digital artery was the most commonly undertaken procedure. Some authors chose to repair the artery, usually through primary anastomosis. Few undertook an interposition vein graft and only two authors describe repair with an arterial graft, using the superficial palmar branch of the radial artery or a digital artery graft from the adjacent finger. Outcomes were favourable, and the majority of patients experienced resolution of symptoms with no recurrence reported.
Imaging modalities varied across the reviewed literature with the use of MR angiography, ultrasound scan, angiography and CT angiogram all being reported. Angiography was most commonly performed; however, in several cases, diagnosis was made at exploration. Patency of the corresponding digital artery should be confirmed through preoperative imaging or a digital Allen’s test. One case describes the absence of the ulnar digital artery on ultrasound, and the authors therefore opted for repair using an arterial graft.
The optimal management of these cases is still unclear with various approaches described. All patients identified through the systematic literature review made an uneventful recovery following excision and ligation. We felt that if the corresponding digital artery were to become compromised in the future, there would be a high risk of digital ischaemia and therefore chose to repair the artery.
In conclusion, digital artery aneurysms remain a rare presentation and management varies across the literature. Whilst outcomes are favourable following excision and ligation, restoring the normal anatomy and physiological condition could prevent symptoms of cold intolerance and tissue loss in the future. Furthermore, patients with a predisposition to hand injuries may sustain future penetrating trauma which could compromise the collateral vasculature. Repairing the artery mitigates the risk of future ischaemia.
Funding
There was no funding approved for this project.
Conflict of interest
There was no conflict of interest to declare.
ACKNOWLEDGEMENTS
We are thankful to the department of clinical photography for their contributions to this report.