-
PDF
- Split View
-
Views
-
Cite
Cite
Axel Kerroum, Pietro Aniello Laudato, Marc R Suter, The steps until surgery in the management of Baastrup’s Disease (kissing spine syndrome), Journal of Surgical Case Reports, Volume 2019, Issue 6, June 2019, rjz194, https://doi.org/10.1093/jscr/rjz194
Close - Share Icon Share
Abstract
Baastrup’s disease is a rare condition of the vertebral column often misdiagnosed and wrongly treated due to poor knowledge, characterized by low back pain arising from the close approximation of adjacent posterior spinous processes and resultant degenerative changes. Diagnosis rests on clinical examination and detailed imaging studies. Proposed therapies include conservative treatment, percutaneous infiltrations or surgical therapies. We present the case of a 31-year-old man with persistent chronic lumbago for several years. In whom, the diagnosis of Baastrup’s disease was high suspected clinically, with a final surgical treatment despite the absence of inflammation on imaging studies, which allowed the diagnostic confirmation and the return to a normal social and professional life. We wish through this case, to expose the different steps of interventional diagnostic/therapeutical procedures until the surgical management in a clinical suspicion of Baastrup’s diseases with unclear radiological findings.
INTRODUCTION
Baastrup’s disease (or kissing spine syndrome), results from adjacent spinous processes in the lumbar spine rubbing against each other and resulting in a degenerative hypertrophy and inflammatory changes.
A physician’s suspicion should be heightened if the patient complains of increasing back pain during spine extension, with relief during flexion [1]. The hallmark of imaging findings include sclerosis, enlargement and flattening of the appositional surfaces, but other characteristics can be seen: edema, cystic lesions and bursitis [2].
With active inflammatory changes or edema on imaging, localized injections of steroid into the interspinous ligaments can be proposed [3]. If injections do not improve the patient’s symptoms, radiofrequency ablation has been described [4]. Surgical treatment is recommended in the absence of improvement with conservative treatment, including excision of the bursa [2], or partial or total removal of the spinous process.
We present a case of a 31-year-old man with a chief complaint of low back pain of several years duration with a suspected diagnosis of Baastrup’s disease clinically, but without all radiological characteristics especially no inflammatory changes. We followed the different therapeutic modalities described in the literature for this disease. Finally, surgery confirmed the diagnosis, and allowed healing.
CASE DESCRIPTION
A 31-year-old male, without history of any comorbidity, complained about progressive increase of mechanical low back pain for more than 6 years. Intense, permanent and insomniac.
There was neither radiation of pain in the legs nor any features suggestive of claudication.
The pain intensity on Brief Pain Inventory was 6/10. The psychological impact on his life could also be observed in other questionnaires (with a 56/68 on the Tampa kinesiophobia scale, a 14/21 for anxiety and 11/21 for depression from the HADS (Hospital Anxiety and Depression Scale) and a 45/52 on catastrophizing scale).
He was taking tramadol and acemetacine as treatment.
Clinically, his pain was relieved by flexion of the spine, aggravated by extension, exacerbated upon finger pressure at the level of L4-L5 and L5-S1. There was paraspinal muscle spasm, but no swelling and no neurological deficit.
Routine blood investigations and inflammatory parameters were within normal limits.
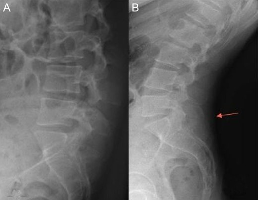
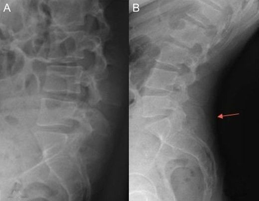
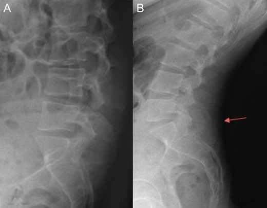
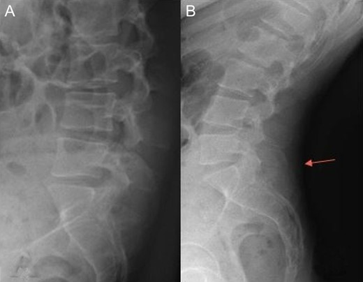
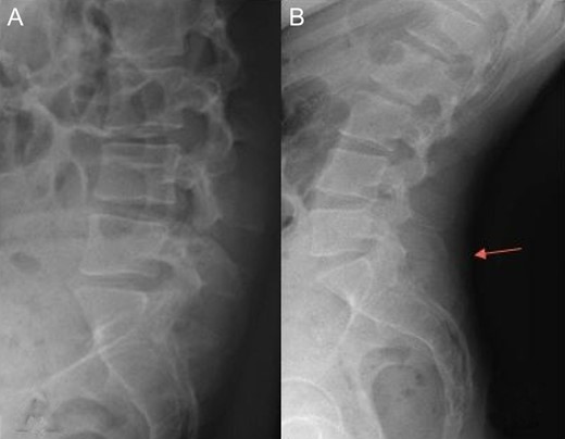
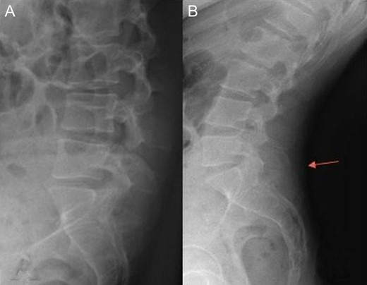
Radiography of the spine revealed an asymmetry of pelvis (Fig. 1), and despite a report refuting Baastrup’s disease, we can see a contact between spinous processes of L5 and S1 in extension (Fig. 2).

Radiography of lumbar spine in anterior-posterior and lateral views showing asymmetry of pelvis.

Radiography of lumbar spine (A: flexion, B: extension). We can see a contact between spinous processes of L5 and S1 (arrow).
Lumbar magnetic resonance imaging‘(MRI) revealed L5-S1 disc protrusion and no abnormality on joints. A small interspinous bursitis is described on L3-L4 and L5-S1 spinous processes (Fig. 3). An L4-S1 CT: did not reveal classic imaging characteristics for Baastrup’s disease.

A: T2, B: T1; Weighted sagittal Lumbar MRI showing discal hernia L5-S1, small interspinous bursitis L3-L4 and L4-L5, L5-S1 rift + edema, spina bifida occulta (usually asymptomatic).
On Single Positron Emission Computed Tomography (SPECT), no detectable fixation abnormality.
Due to the pain evoked by hyperextension, we first excluded a participation of facet joints in the patient’s symptoms, by performing medial branch blocks at the level of the L4-L5 and L5-S1 joints bilaterally with bupivacaine 0.5%, methylprednisolone, without pain relief.
We then performed an infiltration with bupivacaine 0.5% above and below the S1 spinous process, at the level of pressure-evoked pain, with immediate improvement of painful hyperextension, and 8 hours of pain relief (Fig. 4).

Left: localization of pressure-induced pain. Middle and right: under fluoroscopic guidance, S1 perispinous infiltration.
With the suspicion of an atypical participation of the disc protrusion to the symptoms we also performed an epidural at the L4-L5 level (triamcinoloni acetonidum 80 mg, xylocaine 1%), with no improvement.
We then repeated the only positive finding we could achieve with a spinous process block at the L4-L5 and L5-S1 levels (Bupivacaine 0.5% + Methylprednisolone), with again an immediate improvement of painful hyperextension. The relief lasted 6 hours as seen on our in–house designed follow-up tool for smartphones questioning in real time every hour for a pain report following diagnostic blocks (Figs 5 and 6). The addition of corticosteroid did not prolong the relief and we therefore proposed, as previously described, to perform a radiofrequency ablation at that level.


Result of the assessment of pain by smartphone application (DolorApp CHUV).
A long-time relief could not be achieved and therefore the patient underwent surgery. During surgery, a free spinous process between L5 and S1 process was seen and the S1 lamina was not completely fused posteriorly, there was a well-formed neoarthrosis between the spinous process of L5 and S1. The L5-S1 supernumerary spinous was resected without complications from a posterior approach.
The patient noted significant improvement in his back pain after surgery and still present at 8 months follow-up.
DISCUSSION
The close approximation of adjacent spinous processes with resultant further degeneration and inflammation was named by Baastrup in 1933 [5] but was first described as a neoarthrosis by Mayer in 1825 [6].
Usually, diagnosis is dependent upon characteristic findings on imaging studies. The ‘kissing’ of closely approximated spinous processes can often be seen on lateral X-rays. However, MRI is the most sensitive imaging modality for detecting Baastrup’s disease. In contrast to CT, an MRI may notice interspinous bursal fluid and a postero-central epidural cyst(s) at the opposing spinous processes [7].
Treatment of Baastrup’s syndrome is an ongoing topic of debate; both conservative and surgical options are available for treatment. It may improve with localized interspinous injection of anesthetic and there are conflicting reports of improvement with partial excision of spinous process [8].
One case report reported successful relief of back pain from Baastrup’s disease by interspinous radiofrequency lesioning [4].
Two cohort studies have demonstrated conflicting reports of clinical improvement following surgical intervention. This included one early study of 10 patients in 1944 [9], in which the patients undergoing surgical excision of the spinous process for Baastrup’s disease demonstrated improvement. A later study by Beks et al. [10] in 1989 in which 64 patients who underwent either partial or total surgical excision of the lumbar spinous processes demonstrated that surgery does not always alleviate the patient’s pain.
In our case, in the absence of clear sign on imaging studies, we first searched for facet joint pathology or some entrapment in the epidural canal. Even after interspinous positive infiltration, we were reluctant to propose surgery in the absence of inflammation on MRI and scintigraphy. After repeating the positive block but failing to achieve a long-term gain with radiofrequency ablation, a surgical ablation was finally proposed.
CONFLICT OF INTEREST STATEMENT
None declared.
DISCLOSURES
Name: Axel Kerroum, MD.
Contribution: This author helped conceive and design the work, interpret the data, and write and edit the manuscript.
Name: Pietro Aniello Laudato, MD.
Contribution: This author helped investigate and write the manuscript.
Name: Marc R. Suter, MD.
Contribution: This author helped conceive and design the work, interpret the data, and write and edit the manuscript.
Written consent has been obtained from the patient for publication of the case report.