-
PDF
- Split View
-
Views
-
Cite
Cite
L Flood, KH Chang, OJ McAnena, A rare case of Amyand's hernia presenting as an enterocutaneous fistula, Journal of Surgical Case Reports, Volume 2010, Issue 7, September 2010, Page 6, https://doi.org/10.1093/jscr/2010.7.6
Close - Share Icon Share
Abstract
The finding of the vermiform appendix in an inguinal hernia has an incidence of approximately 1%. The condition is given the eponymous name Amyand’s hernia. However in just 0.08% the condition is complicated by an acute appendicitis. The clinical presentation varies, depending on the extent of inflammation of the appendix and is most often misdiagnosed as an incarcerated inguinal hernia. As such it is rarely recognised prior to surgical exploration. We report a case of Amyand’s hernia in an 85 year old woman, which presented as a right groin enterocutaneous fistula. CT scanning illustrated a fistulous tract in the right groin, which communicated with the caecum and the peritoneal cavity. She underwent laparotomy, which revealed that the appendix appeared inflamed, lay in the inguinal canal and was the origin of the enterocutaneous communication.
INTRODUCTION
The presence of the vermiform appendix within an inguinal hernia was first described by Claudius Amyand in 1736. It has an incidence of 1% and is complicated by acute appendicitis in 0.08% of cases. We report a case of Amyand's hernia occurring in an 85 year old woman, who presented with a tender, discharging, right inguinal swelling.
CASE REPORT
An 85-year old woman presented to the surgical outpatient department (SOPD) with a 3-week history of a discharging swelling in the right groin. Initially the swelling had exuded a small volume of serous fluid, but over the previous week, this had changed to a large volume of yellow viscous fluid that required her to redress the area up to 5 times daily. She had a right knee replacement 10 weeks previously. Her groin was treated conservatively on a presumptive diagnosis of a groin abscess arising from an infected inguinal node.
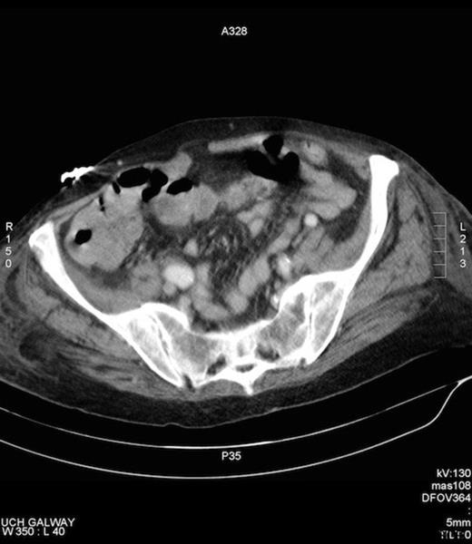
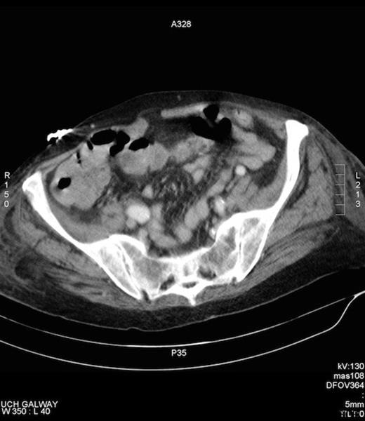
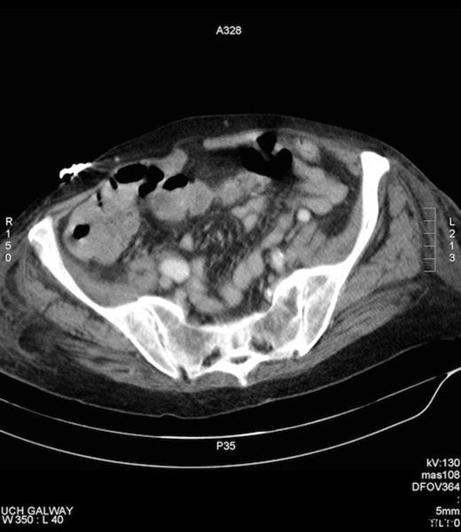
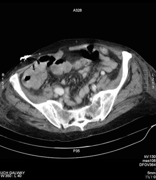
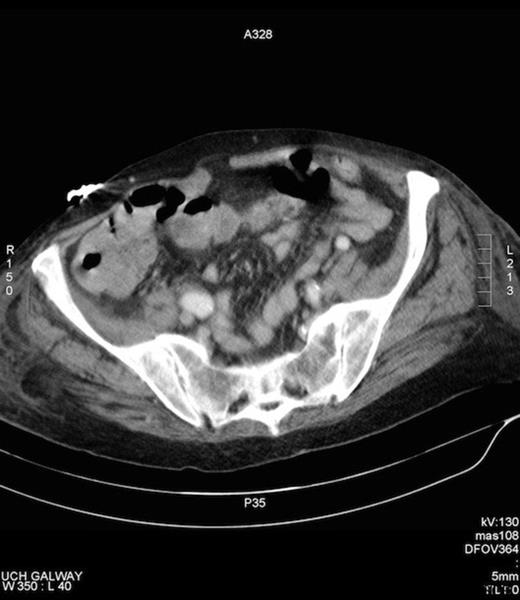
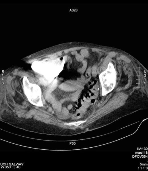
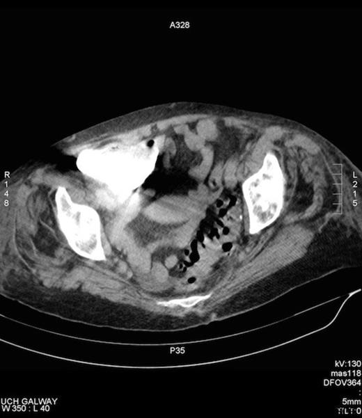
She denied bowel symptoms. Examinations in the SOPD revealed an erythematous, tender swelling in the right groin, with an opening exuding malodorous fluid that had caused marked skin excoriation. On abdominal examination she was tender to palpation in the right groin and guarding and rebound tenderness were absent in the right iliac fossa. There was no clinical evidence of sepsis. A colocutaneous fistula was suspected clinically, when over several days the discharge became faeculent. A CT fistulogram showed a fistulous tract communicating with the caecum and the peritoneal cavity (Figures 1 and 2). She subsequently underwent an elective laparotomy for a planned right hemicolectomy, on a presumptive diagnosis of either a caecal tumour or inflammatory process.


CT fistulogram post injection of contrast via the groin opening. Contrast can be seen to fill the caecum, confirming the presence of a fistula.
Through a right iliac fossa transverse incision there was no phlegmon. The appendix was found in the inguinal canal with its tip communicating with the skin and exuding faeces. (Figure 3) An appendicectomy was performed. Histopathology revealed a non-inflamed appendix with dilated serosal capillaries, suggestive of trauma and an opening at its tip.

At laparotomy, looking down at the pelvis through a right iliac fossa transverse incision, caecum is seen (white arrow) and the appendix with its tip (yellow arrow) can be seen lying in the inguinal canal.
DISCUSSION
In 1736 Claudius Amyand, surgeon to King George the II, performed the first appendicectomy, removing the appendix from the inguinal hernia sac of an 11 year old boy (1). Since then an inguinal hernia containing the vermiform appendix, whether it be inflamed or not inflamed, is given the eponymous name “Amyand’s hernia”. Similar to this report, the child on whom Amyand operated on had an enterocutaneous fistula, which was proven to originate from the appendix when the perforation was traced with a pin. Interestingly the first appendicectomy performed in the USA by Robert J Hall in 1886, was performed on a perforated appendix within an inguinal hernia, similar to Amyand’s case decades prior.
Amyand’s hernia is a rarity, with the incidence of an uncomplicated appendix found in the inguinal canal being 1%, while the finding of appendicitis in the inguinal canal is rarer again, with D’Alia reporting an incidence of just 0.08%, in 1341 patients with inguinal hernias over a 13 year period (2). It is commoner in men and is almost exclusively right sided, most likely due to the usual anatomical position of the appendix, although there have been reports of left sided Amyand’s hernia and in such cases there is usually an associated situs inversus, mobile caecum or intestinal malrotation (3). In a review of 18 cases, the median age was 42 years, with the oldest age noted in literature being 89 years (4).
It is thought that the appendix of Amyand’s hernia is more likely to become inflamed, compared to an anatomically normal appendix, given that it is retained in that location by adhesions and becomes vulnerable to trauma (5). There is no consensus whether appendicitis is the primary pathological mechanism or whether the primary event is its herniation making it more vulnerable to trauma, coupled with changes in abdominal pressure due to muscle contraction which compresses the appendix, thereby decreasing blood supply and encouraging bacterial overgrowth and inflammation (6). Unique to this case is that the appendix was histologically normal, with the exception of dilated serosal capillaries. Despite the absence of inflammation, a fistula was present possibly secondary to mechanical trauma caused by herniation.
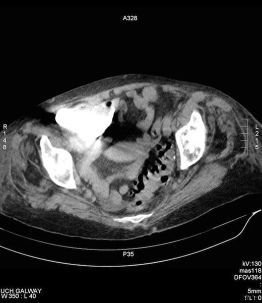
Amyand’s hernia is difficult to diagnose clinically and is rarely diagnosed preoperatively. In a review of 60 cases over a 12 year period only one case was diagnosed pre operatively (7). The difficulty in diagnosis has its origins in the considerable variation of symptoms that patients present with, depending on if the appendix is normal, incarcerated or perforated with the commonest presenting symptom being painful inguinal or inguinoscrotal swelling while the history and examination usually point to an incarcerated hernia (8). Fever and leukocytosis are inconsistent findings. Preoperative CT has revealed the previously unsuspected diagnosis in an occasional report and is useful in establishing the diagnosis early but is not routinely used in clinical situations where a complicated hernia is suspected. Laermann et al illustrated that combining CT with Multi Planar Reconstruction is the most useful technique, to better visualise the appendix and its relationship with surrounding structures, thus aiding in confidently making the correct diagnosis pre-operatively (6). In our case, the appendix could not be visualised, given that the patient has bilateral hip prosthesis, which produced artefact at the level of the appendix. (Figure 4.)

Artefact on CT, secondary to bilateral hip prosthesis, which obscures the appendix.
Treatment of Amyand’s hernia depends on the inflammatory state of the appendix. In an uncomplicated case, appendicectomy is advocated followed by simple repair of the hernia using the same incision (9). In the presence of contamination there is an absolute contraindication to the use of synthetic mesh (4). Laparoscopic reduction has also been described in the literature (10). There was a general consensus by most authors that a normal appendix in the hernial sac does not require appendicectomy, given that such an organ containing faeces increases the risk of septic complications (9).
In conclusion, we report herein a rare case of Amyand’s hernia presenting as an enterocutaneous fistula in the right groin of an 85 year old female patient. It is difficult to diagnose clinically and diagnosis can the aided by a high index of suspicion and accurate interpretation of a CT scan.